By Driver Printer Mioglobin Mioglobin adalah protein yang berukuran kecil (sekitar 17.200 dalton) yang terdapat di otot jantung dan otot rangka, berfungsi menyimpan d...
By Driver Printer Pemeriksaan Troponin Troponin adalah protein spesifik yang ditemukan dalam otot jantung dan otot rangka. Bersama dengan tropomiosin, troponin mengatur kontra...
By Driver Printer Berita Gaya Hidup Kesehatan Virologi Pengertian Virus ZIKA Yang Mampu Buat Kepala Bayi Mengecil Mengenal Lebih Dekat Pengertian Virus ZIKA Virus Zika merupakan salah satu virus dari jenis Flavivirus. Virus ini memiliki kesamaan denga...
By Driver Printer Info Kesehatan Kesehatan Cairan Ajaib Air Susu Ibu Cairan Ajaib itu Bernama Air Susu Ibu (ASI) Air susu ibu (ASI) adalah sebuah cairan tanpa tanding ciptaan Allah untuk memenuhi kebutuhan ...
By Driver Printer Gaya Hidup Kesehatan Tips dan Triks 5 Bahan Alami ini Wajib Coba Untuk Bikin kulitmu yang Bergaris Mulus Kembali Seperti kita ketahui Wanita merupakan makhluk yang selalu ingin memiliki kulit yang mulus, cerah, dan cantik. Sayangnya, tentu saja ada bebe...
By Driver Printer Kesehatan Tips dan Triks Tips dan Trick Terbaru Cara Praktis Singkirkan Kutil Tips dan Trick Terbaru Cara Praktis Singkirkan Kutil Cara menghilangkan kutil memakai sabun colek serta kapur sirih termasuk sangatl...
By Driver Printer Berita Gaya Hidup Hematologi Kesehatan Tips dan Triks Transfusi Darah Pemeriksaan Golongan Darah Pemeriksaan Golongan Darah Pemeriksaan Golongan Darah ABO Pemeriksaan Golongan Darah ABO pertama kali ditemukan oleh seorang ahli Pa...
By Driver Printer Darah Lengkap Hematologi Pemeriksaan Darah Lengkap Pemeriksaan Darah Lengkap Pengertian Pemeriksaan Darah Lengkap Pemeriksaan darah lengkap (complete blood count/blood panel) adalah...
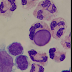
By Driver Printer Hematologi Pemeriksaan Sel LE Pemeriksaan Sel LE Pada lupus eritematosus disseminata atau lupus eritematosus sistemik (SLE), terdapat autoantibodi (faktor LE) dalam ...
By Driver Printer Imuno-serologi Interpretasi Hasil pemeriksaan RF Faktor reumatoid atau rheumatoid factor (RF) adalah immunoglobulin yang bereaksi dengan molekul IgG. Dikarenakan penderita juga me...